Vol. 34 Núm. 1 (2015)

					Ver Vol. 34 Núm. 1 (2015)
Publicado: 2015-04-05

Editorial

Homenaje

  • Cnel. (Asimilado) Dr. Eduardo Blanco Acevedo 4 de marzo de 1884 - 7 de julio de 1971

    Augusto Soiza Larrosa
    5-11
    DOI: https://doi.org/10.35954/SM2015.34.1.1

Artículos Originales

  • Entendiendo la calidad por diseño en la producción de medicamentos

    Gabriela Navarro
    12-18
    DOI: https://doi.org/10.35954/SM2015.34.1.2
  • Evaluación de nanosistemas liposomales como agentes de tratamiento y diagnóstico oncológico

    Nicole Lecot, Natalia Oddone, Marcelo Fernández, Juan Benech, Juan Pablo Gambini, Pablo Cabral
    19-25
    DOI: https://doi.org/10.35954/SM2015.34.1.3
  • Terapia remineralizadora alternativa en la práctica odontológica

    Oscar Cao Fernández
    26-37
    DOI: https://doi.org/10.35954/SM2015.34.1.4

Casos Clínicos

  • Trombosis seno cavernoso

    Carolina Castrillón, Flavia Leizagoyen
    38-40
    DOI: https://doi.org/10.35954/SM2015.34.1.5
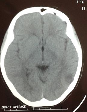
  • Leucoencefalopatía Posterior Reversible post eclampsia

    Anabela Fernández, Jorge Castelli, Julio Citera, Risel Suárez, Anela De Armas, Gladys Germano, Martín Mojoli
    41-45
    DOI: https://doi.org/10.35954/SM2015.34.1.6

Revisiones

  • Linfoma No-Hodgkin: empleo de emisores gamma para su diagnóstico

    Ximena Camacho, Agustina Banchero, Eloisa Riva, Paola Audicio, Pablo Cabral
    46-57
    DOI: https://doi.org/10.35954/SM2015.34.1.7
  • Remoción químico-mecánica de caries

    Oscar Cao Fernández
    58-71
    DOI: https://doi.org/10.35954/SM2015.34.1.8

Historia de la Medicina

  • Centenario de Primera Guerra Mundial 1914 - 2014 Primera Parte: la guerra 1914 -1918

    Augusto Soiza Larrosa
    72-84
    DOI: https://doi.org/10.35954/SM2015.34.1.9

Póster e Información