Vol. 34 Núm. 2 (2015)

					Ver Vol. 34 Núm. 2 (2015)
Publicado: 2015-12-01

Editorial

Homenaje

  • El Hospital Militar lleva un nombre ilustre Coronel (Asimilado) Dr. Fermín Ferreira

    Augusto Soiza Larrosa
    5-14
    DOI: https://doi.org/10.35954/SM2015.34.2.1

Artículos Originales

  • Protocolo de rehabilitación en la Reconstrucción del Ligamento Cruzado Anterior de Rodilla

    Fabián Borges
    15-21
    DOI: https://doi.org/10.35954/SM2015.34.2.2
  • Morbimortalidad de pacientes obstétricas que ingresan a cuidados intensivos

    Anabela Fernández, Jorge Castelli, Natalia Hernández, María Ilundain
    22-27
    DOI: https://doi.org/10.35954/SM2015.34.2.3

Revisiones

  • Bifosfonatos por vía oral: consideraciones en el área odontológica

    Soledad Cabrera, María José Rodríguez, María Fernanda Acevedo, Gustavo Cabrera
    28-37
    DOI: https://doi.org/10.35954/SM2015.34.2.4
  • Efecto del extracto de Pelargonium sidoides en enfermedades del tracto respiratorio alto y en la respuesta inmunológica

    Shirley Aquines, Tania Tassano
    38-46
    DOI: https://doi.org/10.35954/SM2015.34.2.5
  • Virus Zika: un nuevo flavivirus emerge en la región

    Lilián Porta
    47-59
    DOI: https://doi.org/10.35954/SM2015.34.2.6

Casos Clínicos

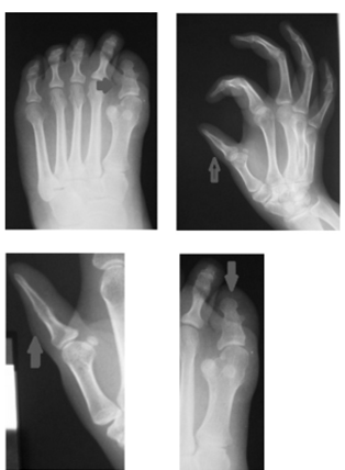
  • Fibrodisplasia osificante progresiva: reporte de un caso

    Carla Pérez, Mauricio Rodríguez, María Eugenia Saráchaga
    60-64
    DOI: https://doi.org/10.35954/SM2015.34.2.7
  • Tiroiditis de De Quervain: dolor cervical con odinofagia y fiebre como presentación inicial

    María Vázquez , Ana Pintos, Rissel Suarez, Marcelo Alvez
    65-69
    DOI: https://doi.org/10.35954/SM2015.34.2.8

Historia de la Medicina